Carcinome intraépithélial
Dermatite factice
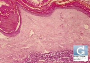
Lichen Scléro-atropique

- Lichen Scléro-atrophique (LSA): Papules d’aspect ivoire. Souvent localisé dans la région génitale

- Lichen Scléro-atrophique (LSA): l’histologie montre une atrophie de l’épiderme avec une sclérose hyaline du derme superficiel. On retrouve un infiltrat de lymphocytes.
Lupus érythémateux
Melanome Malin
Morphée
Pustulose palmo-plantaire
Rosacée
Sclérodermie systémique
Ulcère veineux
Bibliographie: Dermatology, An Illustrated Text and Atlas, 2nd Edition
Tags: female, Femmes, sexe féminin, Le lichen scléro-atrophique, lichen atrophique histo, lichen scléro atrophique, lichen scléro-atrophique cutané étendu, lichen scléroses atrophiées, pink spots on genital area, verrues génitales depigmentation, white skin at gentalias, фото дерматита на половых органах у женщин
Category : female - Modifie le 01.1.2010Category : Femmes - Modifie le 01.1.2010